New Patients 904-901-4302

Current Patients 904-733-4200

6802 St. Augustine Rd. Jacksonville, FL 32217

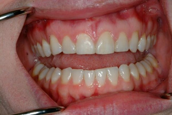
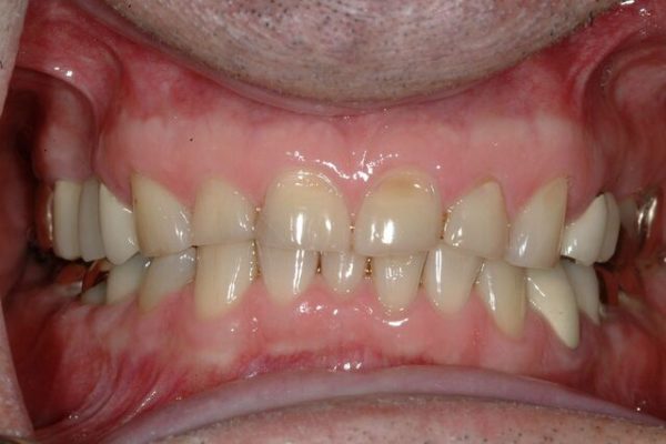
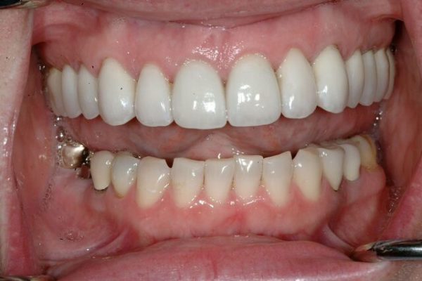
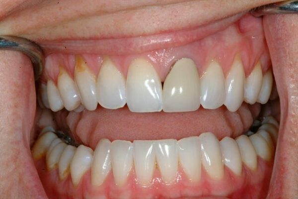
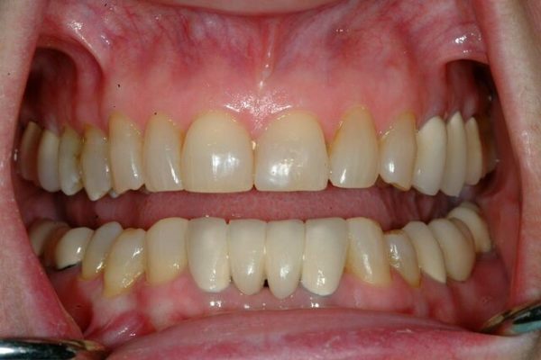
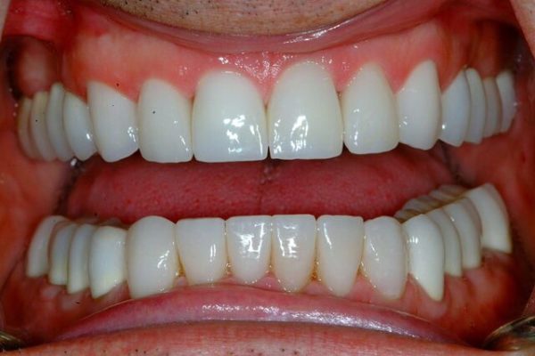
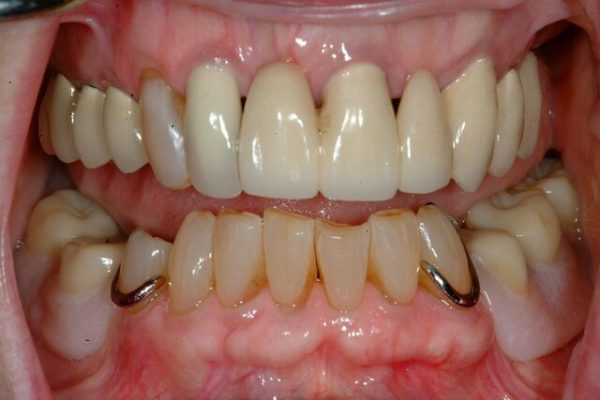
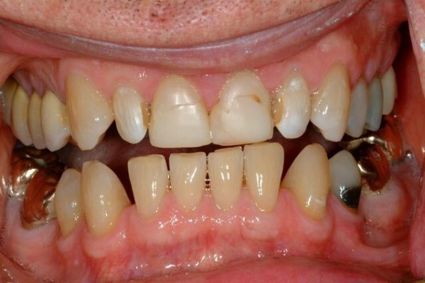
Jacksonville FL Dentist Smile Gallery